¾È³çÇϼ¼¿ä.
¼¿ïÇÏÀ̾ÈÄ¡°ú ³ë¿øÁ¡ ¿øÀå ÃÖÁ¤ÀÎÀÔ´Ï´Ù.
ÀϹÝÀûÀ¸·Î »ç¶÷ÀÇ Ä¡¾Æ´Â À¯Ä¡ 20°³, ¿µ±¸Ä¡ 32°³·Î ±¸¼ºµË´Ï´Ù.
Ä¡¾Æ°¡ ºÎÁ·ÇÑ °Íµµ ¹®Á¦Áö¸¸ Ä¡¾Æ°¡ ¸¹´Ù°í ÇØ¼ ÁÁÀº °ÍÀº ¾Æ´Õ´Ï´Ù.
¿À´ÃÀº ÇÊ¿ä ¾ø´Â Ä¡¾Æ°¡ ´õ ÀÖ´Â °úÀ×Ä¡¿¡ ´ëÇØ À̾߱âÇÏ·Á°í ÇÕ´Ï´Ù.
°úÀ×Ä¡´Â Àα¸ÀÇ 1~3%¿¡¼ ³ªÅ¸³ª´Â ÈçÇÑ Ä¡¾ÆÀÌ»óÀÔ´Ï´Ù.
ÈçÈ÷ ´ë¹®´Ï¶ó°í ºÎ¸£´Â »ó¾ÇÁßÀýÄ¡ »çÀÌ¿¡¼ ¸¹ÀÌ ³ªÅ¸³ª´Âµ¥ À̸¦ Á¤Áß°úÀ×Ä¡(mesiodens)¶ó°í ºÎ¸¨´Ï´Ù.
´ëºÎºÐÀÇ Á¤Áß°úÀ×Ä¡´Â ¿øÃßÇüÀ̸ç Å©±â°¡ ÀÛ°í ´ëºÎºÐ ÀÔõÀåÂÊ¿¡ À§Ä¡ÇÕ´Ï´Ù.
Á¤Áß°úÀ×Ä¡ÀÇ 75%´Â ¸Åº¹µÈ »óÅÂÀ̱⠶§¹®¿¡ ¸ð¸£°í Áö³»´Ù°¡,
X-ray ÃÔ¿µ¿¡¼ ¿ì¿¬È÷ ¹ß°ßµÇ´Â °æ¿ì°¡ ¸¹½À´Ï´Ù.
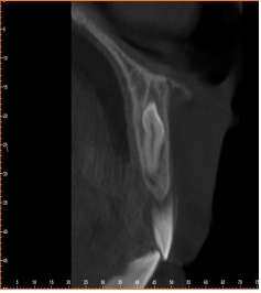
¿µ±¸Ä¡°¡ ¸ÍÃâÇÒ ½Ã±â°¡ µÇÁö ¾Ê¾Ò´Âµ¥ À¯Ä¡°¡ Èçµé·Á¼ ³»¿øÇÑ È¯ÀÚÀÔ´Ï´Ù.

ÀÌ¿Í °°ÀÌ °úÀ×Ä¡°¡ ¸ÍÃâÇÏ¸é¼ À¯Ä¡ÀÇ »Ñ¸®¸¦ Èí¼öÇØ¼ À¯Ä¡°¡ Á¤»óÀûÀÎ ½Ã±âº¸´Ù
»¡¸® ºüÁö°Ô µÇ´Â °æ¿ì°¡ Á¾Á¾ ÀÖ½À´Ï´Ù.
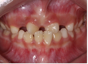
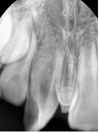
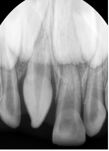
¾Õ´Ï°¡ ¹ú¾îÁö°í »ß¶Ô¾îÁ® Àִ ȯÀÚ¿¡¼ X-ray¸¦ ÃÔ¿µÇÏ¿´´õ´Ï °úÀ×Ä¡°¡ ¸Åº¹µÇ¾î ÀÖ´Â °ÍÀÌ º¸ÀÔ´Ï´Ù.
Ä¡¾Æ »Ñ¸® ¾ÕÂÊ¿¡ ¸Åº¹µÇ¾î ÀÖ´Â °úÀ×Ä¡·Î ÀÎÇØ ¾Õ´Ï »çÀ̰¡ ¹ú¾îÁö°í, ¿À¸¥ÂÊ ¾Õ´Ï°¡ »ß¶Ô¾îÁø ä·Î
¸ÍÃâÇÏ¿´½À´Ï´Ù.
 
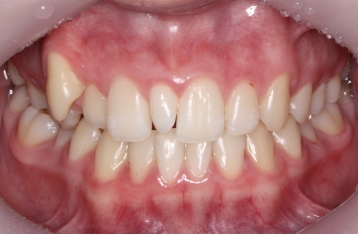
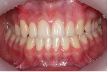
ÀÌ·± °æ¿ì °úÀ×Ä¡¸¦ ¹ßÄ¡ÇÏ°í °£´ÜÇÑ ±³Á¤Ä¡·á·Î ¹®Á¦¸¦ ÇØ°áÇØÁÙ ¼ö ÀÖ½À´Ï´Ù.
°úÀ×Ä¡¸¦ »ÌÁö ¾Ê°í ¹æÄ¡ÇÏ´Â °æ¿ì °úÀ×Ä¡·Î ÀÎÇØ ´Ù¸¥ Ä¡¾ÆµéÀÌ Á¤»óÀûÀ¸·Î ¸ÍÃâÇÏÁö ¸øÇÒ ¼ö ÀÖ½À´Ï´Ù.
¾Õ´Ï»çÀÌ¿¡ À§Ä¡ÇÑ °úÀ×Ä¡ ¶§¹®¿¡ ´Ù¸¥ Ä¡¾ÆµéÀÌ ¸ÍÃâÇÒ °ø°£ÀÌ ºÎÁ·ÇØÁ®¼ Ä¡¾Æ°¡ »ß¶Ô¾îÁ³½À´Ï´Ù.

ÀÌ·± °æ¿ì¿¡´Â °úÀ×Ä¡¸¦ »Ì¾Æµµ Ä¡¿ÀÌ ÀúÀý·Î °³¼±µÇÁö ¾Ê½À´Ï´Ù.
°úÀ×Ä¡¸¦ ¹ßÄ¡ÇÑ ÈÄ¿¡ ±³Á¤Ä¡·á¸¦ ÅëÇØ ¹®Á¦¸¦ ÇØ°áÇØÁÖ¾ú½À´Ï´Ù.

°úÀ×Ä¡´Â Á¶±âÁø´ÜÀÌ ¸Å¿ì Áß¿äÇÕ´Ï´Ù.
¹ßÄ¡½Ã±â¸¦ ³õÄ¡°Ô µÇ¸é À§ÀÇ °æ¿ìµéó·³ ÀÎÁ¢Ä¡¾Æ³ª Ä¡¿¿¡ ¹®Á¦¸¦ ÀÏÀ¸Å³ ¼ö ÀÖ½À´Ï´Ù.
¶ÇÇÑ °úÀ×Ä¡¿Í °ü·ÃµÇ¾î ¹°È¤ÀÌ »ý±æ ¼öµµ ÀÖ½À´Ï´Ù.
°úÀ×Ä¡°¡ ±¸°³»·Î ¸ÍÃâÇÑ °æ¿ì¿¡´Â °£´ÜÈ÷ ¹ßÄ¡ÇÒ ¼ö ÀÖÁö¸¸,
 
¸Åº¹µÈ °úÀ×Ä¡ÀÇ °æ¿ì¿¡´Â CT ÃÔ¿µ µîÀ» ÅëÇØ °úÀ×Ä¡ÀÇ Á¤È®ÇÑ À§Ä¡¸¦ È®ÀÎÇϰí
¼ö¼úÀ» ÇØ¼ °úÀ×Ä¡¸¦ ¹ßÄ¡ÇØ¾ß ÇÕ´Ï´Ù.
 
°úÀ×Ä¡ ¹ßÄ¡¼ö¼úÀº ¹ß°ß Áï½Ã ÇÏ´Â °ÍÀÌ ¿øÄ¢ÀÌÁö¸¸ »óȲ¿¡ µû¶ó ¹Ì·ç¾î¾ß ÇÒ ¼ö ÀÖ½À´Ï´Ù.
- Ä¡¾Æ°¡ ¸ÍÃâÇÒ °¡´É¼ºÀÌ ÀÖ´Â °æ¿ì
- ¾ÆÀ̰¡ ¾î·Á¼ ¼ö¼ú¿¡ ÇùÁ¶ÇϱⰡ ¾î·Á¿î °æ¿ì
- ¼ö¼ú Áß ÀÎÁ¢ÇÑ Ä¡¾ÆÀÇ ¼Õ»ó °¡´É¼ºÀÌ ÀÖ´Â °æ¿ì
- Ä¡¾Æ°¡ ³Ê¹« ±íÀÌ À§Ä¡Çؼ ¼ö¼úÀÌ ¾î·Á¿î °æ¿ì
µî ¿¡´Â °úÀ×Ä¡°¡ ÀÎÁ¢ÇÑ Ä¡¾ÆÀÇ ¹ßÀ°¿¡ ¾Ç¿µÇâÀ» ÁÖÁö ¾Ê´ÂÁö¸¦ ÁÖ±âÀûÀ¸·Î °üÂûÇϸé¼
¹ßÄ¡½Ã±â¸¦ ½ÅÁßÈ÷ °áÁ¤ÇÏ¿©¾ß ÇÕ´Ï´Ù.
Á¤±âÀûÀÎ Ä¡°ú °ËÁøÀ» ÇÑ´Ù¸é °úÀ×Ä¡ÀÇ Á¶±âÁø´Ü°ú ÀûÀýÇÑ ´ëó°¡ °¡´ÉÇϰÚÁö¿ä?
Ä¡¾Æ¿¡ ÀÌ»óÀÌ ¾ø¾î º¸ÀÌ´õ¶óµµ 6°³¿ù¿¡ ÇѹøÀº Ä¡°ú¿¡ ³»¿øÇؼ ±¸°°ËÁøÀ» ¹ÞÀ¸¼¼¿ä.
±×¸®°í ¾ÆÀ̵éÀÇ °æ¿ì¿¡´Â Á¤±âÀûÀ¸·Î X-ray¸¦ ÃÔ¿µÇؼ,
Ä¡¾Æ°¡ Á¤»óÀûÀ¸·Î ¹ßÀ°Çϰí ÀÖ´ÂÁöµµ ²À Ã¼Å©ÇØÁÖ¼¼¿ä.
¼¿ïÇÏÀ̾ÈÄ¡°ú ³×Æ®¿öÅ© ³ë¿øÁ¡ ÃÖÁ¤ÀÎ ¿øÀå |