¾È³çÇϽʴϱî.
¼¿ï ÇÏÀ̾ÈÄ¡°ú »êº» ¿øÀå ½Å¿µ¹Î ÀÔ´Ï´Ù.
ÀÌÁ¦ ³¯¾¾µµ Á¦¹ý ½Ò½ÒÇØÁ®¼ ¹Ù¾ßÈå·¯ °Ü¿ïÀÇ ÀÔ±¸¿¡ µµ´ÞÇÑ ´À³¦ÀÔ´Ï´Ù.
º¸Åë Áø·á½Ç¿¡¼ ¿©·¯°¡Áö Áú¹®µéÀ» ÇϽôµ¥
±×Áß¿¡ Çϳª°¡ ÅλÀ°¡ Á¡Á¡ ÀÚ¶ó´Âµ¥ ¾ÏÀ̳Ĵ Áú¹®À» °¡²û ¹Þ½À´Ï´Ù.
¾Æ·¡ÅÎ ÀÛÀº ¾î±Ý´Ï ºÎÀ§¿¡ Æ¢¾î³ª¿Â »À°¡ °è¼Ó Ä¿Áø´Ù´Â ´À³¦À» ¸¹ÀÌ È£¼ÒÇϽʴϴÙ.
´ë°³ÀÇ °æ¿ì ¾çÃø¼ºÀ¸·Î ¸¹ÀÌ ³ªÅ¸³ª°í ³¯Ä«·ÓÁö ¾ÊÀº µÕ±Ù µ¼ÇüÅ·Π¸¹ÀÌ ³ªÅ¸³³´Ï´Ù.

µå¹°Áö ¾Ê°Ô ÀÔõÀåºÎÀ§¿¡¼ Æ¢¾î³ª¿À´Â °æ¿ìµµ ÀÖ½À´Ï´Ù.
Æò¼Ò¿¡ ´À³¦ÀÌ ¾ø´Ù°¡ Æ¢¾î³ª¿Â ºÎÀ§°¡ À½½Ä¿¡ ¾µ·Á¼ ÅëÁõÀ» ³ªÅ¸³»¸é ÀÎÁöÇÏ´Â °æ¿ì°¡ ´ëºÎºÐÀÔ´Ï´Ù.
ÀÌ·± Çö»óÀÌ ³ªÅ¸³ª´Â ÀÌÀ¯´Â ÀþÀº ³ªÀÌ¿¡¼´Â À̰¥ÀÌ¿¡ ÀÇÇÑ °ÍÀÌ ¸¹½À´Ï´Ù.
ÀÌ °ñÀ¶±âÀÇ Å©±â´Â ÀÏ»ýµ¿¾È Å©±âÀÇ º¯È°¡ ÀÖ½À´Ï´Ù.
½ÉÇÑ °æ¿ì´Â ³Ê¹« Ä¿Á®¼ Çô°¡ ÀÖ¾î¾ßÇÒ À§Ä¡±îÁö ³Ñ¾î¿À´Â °æ¿ìµµ ÀÖ½À´Ï´Ù.
¸íÈ®ÇÏÁö´Â ¾ÊÁö¸¸ ÅλÀ¿¡ °¡ÇØÁö´Â ±¹¼ÒÀûÀÎ ¾Ð·Â¿¡ ÀÇÇѰÍÀ¸·Î »ý°¢µÇ°í ÀÖ½À´Ï´Ù.
´ë°³ÀÇ °æ¿ì ÀÌ·¯ÇÑ °ñÀ¶±â´Â Ưº°ÇÑ Ä¡·á°¡ ÇÊ¿ä·Î ÇÏÁö ¾Ê½À´Ï´Ù.
´Ù¸¸ Ʋ´Ï¸¦ ¸¸µé¶§ °É·Á¼ »óó°¡ ¹Ýº¹µÉ ¼ö Àֱ⠶§¹®¿¡ Á¦°Å¸¦ ÇØÁÖ´Â °ÍÀÌ ÁÁ½À´Ï´Ù.
°ñÀ¶±â¸¦ Á¦°ÅÇÒ ¶§´Â ±¹¼Ò¸¶ÃëÇÏ¿¡ Ʋ´ÏÁ¦ÀÛ¿¡ ¹æÇصǴ ºÎÀ§¸¸Å ¿Ü°úÀû ÀýÁ¦¸¦ ½ÃÇàÇÕ´Ï´Ù.
ÇÏÁö¸¸ Áö¼ÓÀûÀ¸·Î Ä¡¾Æ°¡ ¿Ü·ÂÀ» ¹ÞÀ» °æ¿ì¿¡´Â Àç¹ßÇÏ´Â °æÇâÀÌ ÀÖ½À´Ï´Ù.
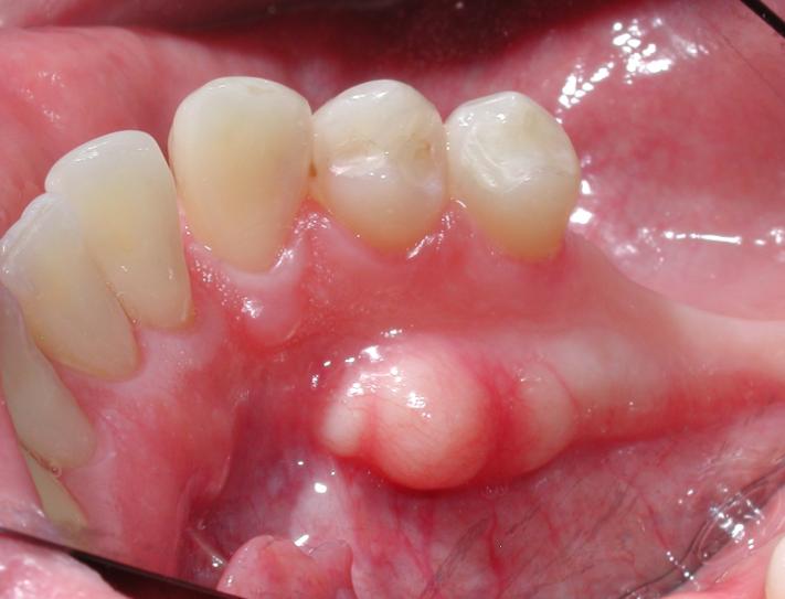
À§ÅλÀ¿¡ Àڶ󳪴 °æ¿ì´Â ´ë°³ °æ±¸°³(µüµüÇÑ ÀÔõÀå)ºÎÀ§ÀÇ Á¤ÁߺÎÀ§¿¡ ¸¹ÀÌ ¹ß»ýÇÕ´Ï´Ù.
´ë°³ 2cmÀÌÇÏÀÇ Å©±â·Î ÀÚ¶ó¸ç Æò»ý Å©±âÀÇ º¯È°¡ ÀÖ½À´Ï´Ù.
À¯ÀüÀûÀÎ ¼ºÇâÀÌ ÀÖÀ¸¸ç ³ªÀ̰¡ µé¼ö·Ï ÁÙ¾îµå´Â °æ¿ì°¡ ¸¹½À´Ï´Ù.
¾Æ·¡ÅÎÀÇ °ñÀ¶±â¿Í ¸¶Âù°¡Áö·Î Æò¼Ò ¸ø´À³¢´Ù°¡ »óó°¡ »ý±â¸é ´À³¢´Â °æ¿ì°¡ ¸¹½À´Ï´Ù.
°ÅÀÇ Ä¡·á°¡ ÇÊ¿ä ¾øÀ¸³ª Ʋ´Ï¸¦ ¸¸µé¶§ °É¸®°Ô µÇ¸é ¿Ü°úÀû ÀýÁ¦¸¦ ½ÃÇàÇÕ´Ï´Ù.
À§¿¡¼ ¸»¾¸µå¸° °æ¿ì´Â º¸Åë ¸¸Áö°Ô µÇ¸é µüµüÇÑ ´À³¦ÀÌ ÀÖ½À´Ï´Ù.
ÇÏÁö¸¸ Æ¢¾î³ª¿Â °ÍÀÌ ¹°··ÇÑ ´À³¦ÀÌ ³ª°Å³ª ¾Æ·¡Åο¡¼ ¹Ù±ùÂÊ(º¼ÂÊ)À¸·Î °ñÀ¶±â°¡ ¹ß»ýÇÏ´Â °æ¿ì´Â
´Ù¸¥ ÁúȯÀϼöµµ ÀÖÀ¸´Ï ¹Ýµå½Ã Ä¡°ú¿¡ ³»¿øÇϼż °ËÁøÀ» ¹Þ¾Æº¸½Ã´Â °ÍÀÌ ÁÁ½À´Ï´Ù.
¼¿ï ÇÏÀÌ¾È Ä¡°ú ³×Æ®¿öÅ© »êº»Á¡ ½Å¿µ¹Î ¿øÀå |