|
»ç¶û´Ï´Â ²À »Ì¾Æ¾ß Çϳª¿ä?
¿ì¸®°¡ º¸Åë »ç¶û´Ï¶ó°í ºÎ¸£´Â Ä¡¾Æ´Â 17~22¼¼ ¹«·Æ¿¡ ³ª±â ½ÃÀÛÇϴµ¥ »ç¶ûÇÒ ³ªÀ̰¡ µÉ ¶§ ³´Ù´Â ¶æÀ¸·Î À̸§ÀÌ ºÙ¿©Á³½À´Ï´Ù.
ÀÔ¾ÈÀÇ ¿µ±¸Ä¡¿ Ä¡¾Æ Áß °¡Àå ¾ÈÂÊ¿¡ ³ª¿À´Â ¼¼ ¹øÂ° Å« ¾î±Ý´Ï(¾Õ´ÏºÎÅÍ´Â 8¹øÂ° Ä¡¾Æ)¶ó¼
Á¦3´ë±¸Ä¡¶ó°íµµ Çϸç,±¸° ³»¿¡ Á¦ÀÏ ´Ê°Ô ³ª¿À´Â Ä¡¾ÆÀÔ´Ï´Ù. ¶ÇÇÑ »ç¸®¸¦ ºÐº°ÇÒ ¼ö ÀÖ´Â ÁöÇý°¡ »ý±â´Â ½Ã±â¿¡ ³ª¿Â´Ù°í ÇÏ¿© ÁöÄ¡(òªöÍ,wisdom tooth)¶ó°íµµ ÇÕ´Ï´Ù.
Çö´ëÀεéÀÇ °æ¿ì ¿¾³¯°ú ´Þ¶óÁø ½Ä½À°üÀ¸·Î ÀÎÇÏ¿© Á¡Á¡ ÅλÀ°¡ ÀÛ¾ÆÁö´Â °æÇâÀÌ ÀÖ¾î »ç¶û´Ï°¡ Á¦´ë·Î ¸ÍÃâÇÒ ¼ö ÀÖ´Â °ø°£ÀÌ ºÎÁ·ÇÏ¿© Á¤»óÀûÀ¸·Î ³ª¿ÀÁö ¸øÇÏ°í ¸Åº¹µÇ´Â °æ¿ì°¡ ¸¹À¸¸ç, ÀԾȿ¡ °¡Áö°í Àְųª ³ª¿À´Â °³¼ö´Â 1°³ºÎÅÍ 4°³±îÁö »ç¶÷¸¶´Ù ´Ù¸¨´Ï´Ù. ¾à 7%ÀÇ »ç¶÷¿¡°Ô´Â »ç¶û´Ï°¡ ¾Æ¿¹ ¾ø±âµµ ÇÕ´Ï´Ù.
Ä¡¾Æ°¡ ÀÕ¸öÀ» ¶Õ°í ±¸° ³»·Î ³ª¿À´Â °ÍÀ» ¸ÍÃâÀ̶ó Çϴµ¥ »ç¶û´Ï´Â ¶È¹Ù·Î ¸ÍÃâÇÏ¿© û°áÇÏ°Ô À¯Áö °ü¸®°¡ µÇ¸é Å« ¾î±Ý´Ï·Î¼ »ç¿ëÇÏ´Â µ¥ ¾Æ¹« ¹®Á¦°¡ ¾ø°í »ÌÀ» Çʿ䵵 ¾ø½À´Ï´Ù. ÀÌ·± °æ¿ì º¸Åë Ä¡°ú¿¡ Á¤±âÀûÀ¸·Î ³»¿øÇؼ ÀûÀýÇÑ Ä¡°ú °ËÁø°ú °ü¸®¸¦ ¹ÞÀ¸¸ç À¯ÁöÇϸé ÁÁ½À´Ï´Ù.
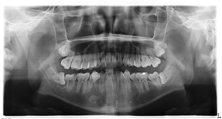
(»çÁø - 1)
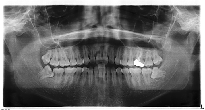
(»çÁø - 2)
±×·¯³ª »ç¶û´Ï°¡ °ø°£ÀÌ ºÎÁ·ÇÏ¿© ÀϺθ¸ ³ª¿À°í ÀϺδ ÀÕ¸ö »À¿¡ ¹¯È÷´Â(»çÁø 1) °æ¿ì³ª ¶§·Î´Â ¹Ù·Î ¾Õ ¾î±Ý´Ï(Á¦2´ë±¸Ä¡)¿¡ °É·Á¼ ´õ ÀÌ»ó ¸ÍÃâÇÏÁö ¸øÇÏ°í ¾Õ´Ï ÈĸéÀ» ¾Ð¹ÚÇÏ´Â ÇüÅ·Π´©¿ö ÀÖ´Â ¼öÆòÁöÄ¡(»çÁø 2) ÇüÅ·Π³ª±âµµ ÇÕ´Ï´Ù.
°ø°£ÀÌ ºÎÁ·ÇÏ¿© À߸ø ¸ÍÃâµÇ´Â °æ¿ì¿¡´Â °ü¸®¿¡ ¾î·Á¿òÀÌ ¸¹¾Æ ´Ù¾çÇÑ ÁúȯÀ» ÀÏÀ¸Å³ ¼ö ÀÖ½À´Ï´Ù.
¿ì¼± »ç¶û´Ï ÀÕ¸öÀ̳ª ÁÖº¯ Á¶Á÷¿¡ ¼¼±ÕÀÌ Ä§¹üÇÏ¿© ¿°ÁõÀ» ÀÏÀ¸Å°´Â ÁöÄ¡ ÁÖÀ§¿°ÀÌ »ý±æ¼ö Àִµ¥ ¸ÍÃâ ÁßÀ̰ųª ÀϺθ¸ ¸ÍÃ⠵Ǿî ÀÕ¸öÀÌ Ä¡¾Æ¸¦ ºÎºÐÀûÀ¸·Î µ¤°í ÀÖ´Â »óÅ¿¡¼ Àß »ý±æ ¼ö ÀÖ½À´Ï´Ù. 
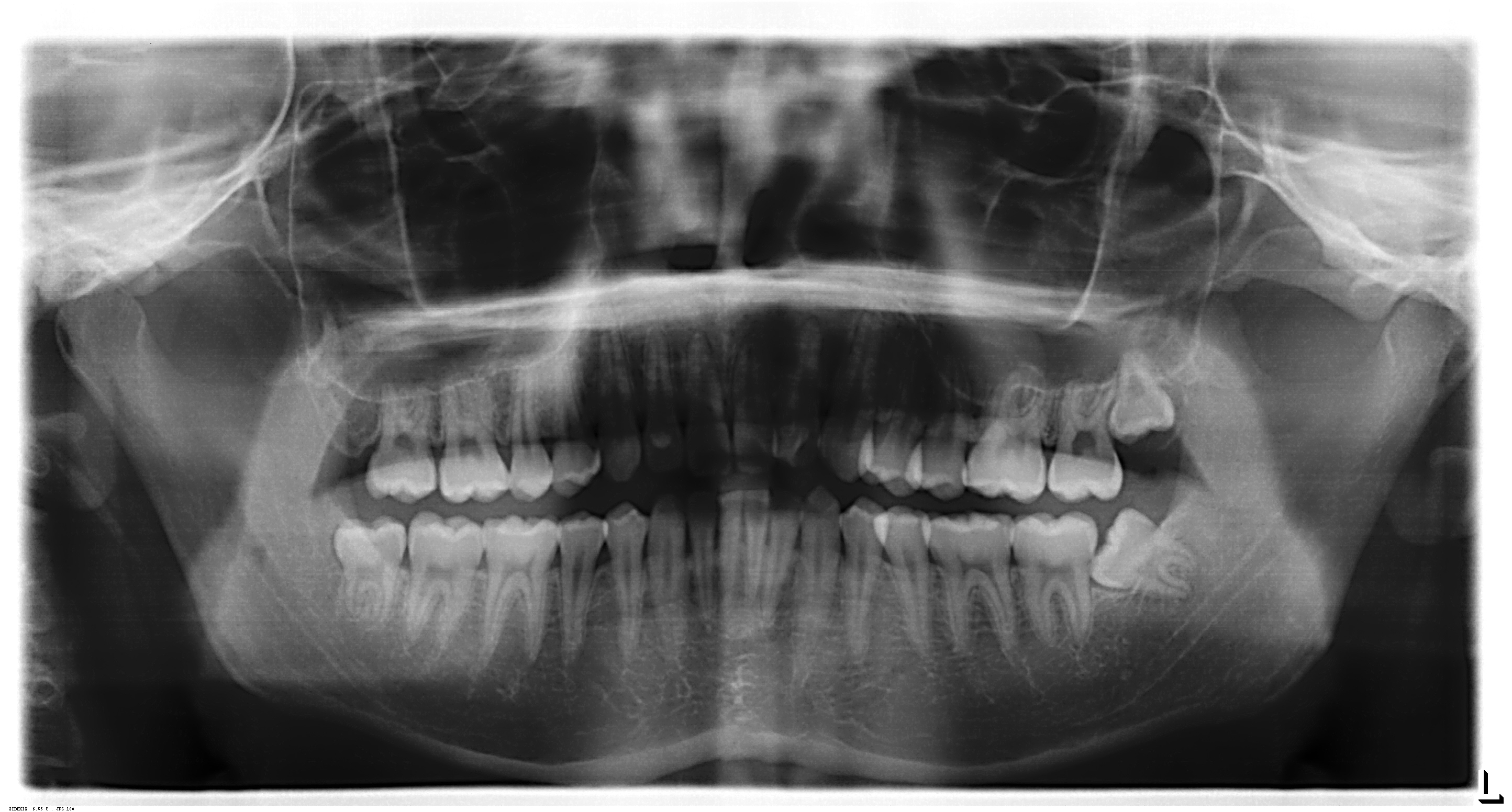
(»çÁø - 3)
»ç¶û´Ï ÁÖº¯ÀÌ ºÒÆíÇϰí ÀÔ³¿»õ°¡ ³ª¸ç ½ÉÇÒ °æ¿ì À½½ÄÀ» »ïŰ°Å³ª ÀÔÀ» ¹ú¸®±â °ï¶õÇÑ °æ¿ìµµ ÀÖ½À´Ï´Ù.
±×¸®°í »ç¶û´Ï°¡ À߸ø ³ª¼ ¾ÕÀÇ ¾î±Ý´Ï µÞ¸é¿¡ Ä¡¾Æ¿ì½ÄÁõ(»çÁø 3)ÀÌ »ý±â°Å³ª ±â¿ï¾îÁø »ç¶û´Ï ¶§¹®¿¡ Ä¡¼®ÀÌ ½±°Ô »ý°Ü¼ ÁÖº¯ÀÇ ÀÕ¸ö¿¡ Ä¡ÁÖÁúȯÀÌ »ý±â´Â °æ¿ì°¡ ÀÖÀ» ¼ö ÀÖ½À´Ï´Ù.
À§¿Í °°Àº ÁúȯÀ̳ª Áõ»óÀÌ ÀÖÀ» °æ¿ì¿¡´Â »ç¶û´ÏÀÇ ¹ßÄ¡°¡ ÇÊ¿äÇϸç, ÀϹÝÀûÀ¸·Î »ç¶û´ÏÀÇ À§Ä¡ ÀÌ»óÀ̳ª ¸Åº¹, ¸Å¸ô µî Àü¹ÝÀûÀÎ ÀÌ»óÀ¯¹«¸¦ È®ÀÎÇϱâ À§ÇØ Àüü Ä¡¾Æ¿Í ÅλÀÀÇ »óŸ¦ ÇÑ´«¿¡ º¼ ¼ö ÀÖ´Â ÆÄ³ë¶ó¸¶ X-Ray »çÁøÀ» ÃÔ¿µÇÕ´Ï´Ù.
ÆÄ³ë¶ó¸¶ X-Ray »çÁøÀ» È®ÀÎÇÏ¿© ½ÉÇÑ ¸Åº¹À» º¸ÀÌ´Â °æ¿ì¿¡´Â ¾Æ·¡Åο¡ ³ªÀÖ´Â »ç¶û´ÏÀÇ À§Ä¡°¡ ¾Æ·¡ÅÎ ½Å°æ°ú ´ê¾ÆÀÖ¾î ¹ßÄ¡½Ã ½Å°æ ¼Õ»óÀÇ À§ÇèÀÌ ÀÖÀ» ¼ö ÀÖ¾î¼ Ãß°¡ÀûÀ¸·Î CT ÃÔ¿µÀÌ ÇÊ¿äÇÒ ¼öµµ ÀÖ½À´Ï´Ù.
¹ßÄ¡ ÈÄ¿¡ »ý±â´Â ºÎÁ¾, ÃâÇ÷, ÅëÁõ µîÀÇ ÇÕº´ÁõÀº Â÷Â÷ ȸº¹µÇ¾î ¾ø¾îÁö±â ¶§¹®¿¡ ½Å°æ ¼Õ»ó¿¡ ´ëÇÑ ºÎºÐ¸¸ Á¶½ÉÇÑ´Ù¸é »ç¶û´Ï ¹ßÄ¡¸¦ ±×·¸°Ô µÎ·Á¿öÇÒ ÇÊ¿ä´Â ¾ø½À´Ï´Ù.
ÀÌ·¸°Ô º¼¶§ À߸ø³ »ç¶û´Ï´Â »Ì¾Æ¾ß°ÚÁö¸¸ ¶È¹Ù·Î ³ª¼ Á¤»óÀûÀ¸·Î ¾µ¼ö ÀÖ´Ù¸é Á¤±âÀûÀ¸·Î °ËÁø¹ÞÀ¸¸é¼ Àß °ü¸®Çϰí À¯ÁöÇÏ´Â °ÍÀÌ ÁÁ°Ú½À´Ï´Ù.
¼¿ï ÇÏÀ̾ÈÄ¡°ú ³×Æ®¿öÅ© ¾à¼öÁ¡ ±è¿ë¼± ¿øÀå
|