ÃÖ°íÀÇ ÇÏÀ̾ÈÀÇ ¹Ì¹é½Ã½ºÅÛÀ» °æÇèÇϼ¼¿ä.
´©·± ÀÌ·Î °í¹ÎÇϽóª¿ä
¼¿ïÇÏÀ̾ÈÄ¡°úÀÇ ¹Ì¹é½Ã½ºÅÛÀ¸·Î ÇØ°áÇϼ¼¿ä
ÇÏÀ̾ÈÀÇ ¹Ì¹é½Ã½ºÅÛÀ¸·Î 1-2ÁÖ¸¸¿¡ ¹à°í ȯÇÑ ¹Ì¼Ò¸¦ °¡Áú¼ö ÀÖ½À´Ï´Ù.
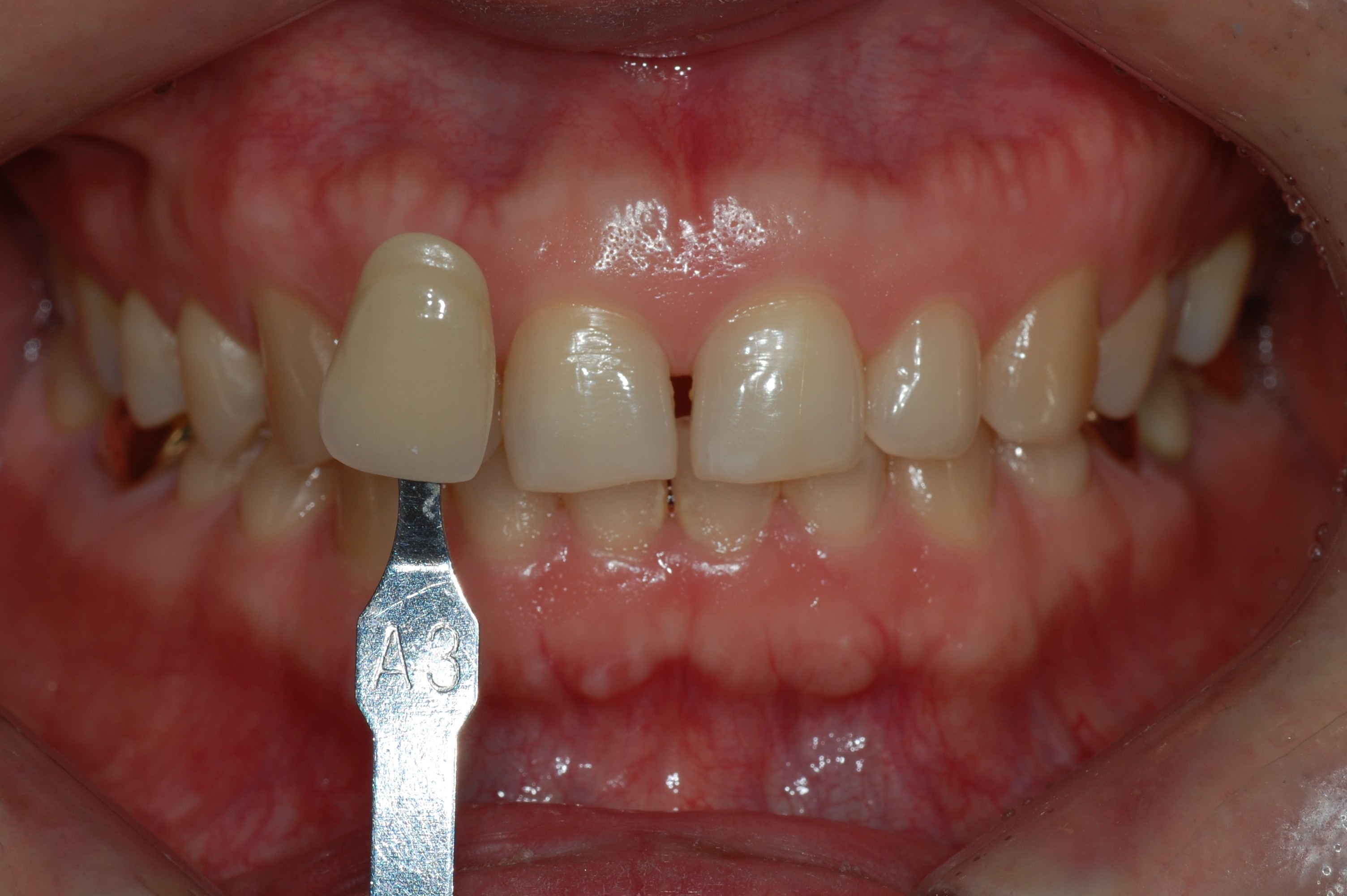
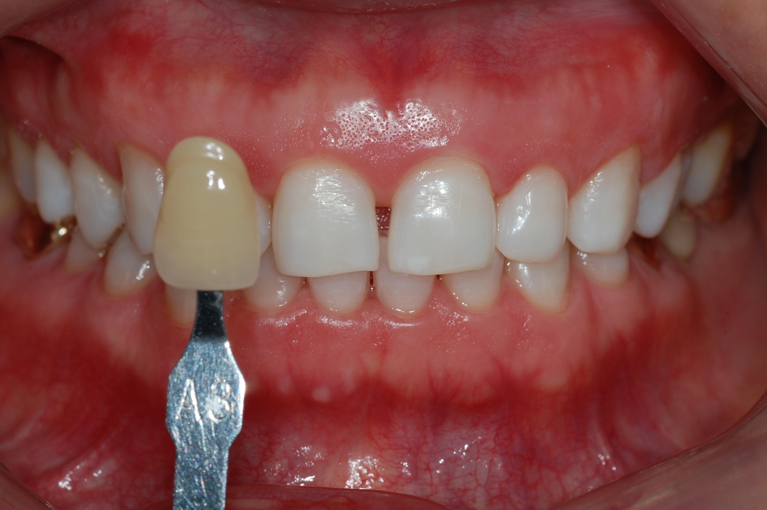
ù¹øÂ° ÄÉÀ̽º ÀÔ´Ï´Ù.
Ä¡·áÀü Ä¡·áÈÄ
 
Ä¡¾Æ»öÀÌ ´©·¸½À´Ï´Ù. Ä¡¾Æ»ö ÃøÁ¤±â·Î A3 ´Ü°èÀÔ´Ï´Ù..
ÇÏÀÌ¾È ¹Ì¹é½Ã½ºÅÛÀ» ÀÌ¿ëÇÑ ¹Ì¹éÀ¸·Î 1ÁÖÀϸ¸¿¡ »ö±òÀÌ º¯Çß½À´Ï´Ù.
ºÒ°ú 1ÁÖÀÏ ÀüÀÇ A3»ö±ò°ú´Â ºñ±³°¡ µÇÁö ¾ÊÀ» Á¤µµ·Î ÇÏ¾á ¹Ì¼Ò°¡ µÇ¾ú½À´Ï´Ù..
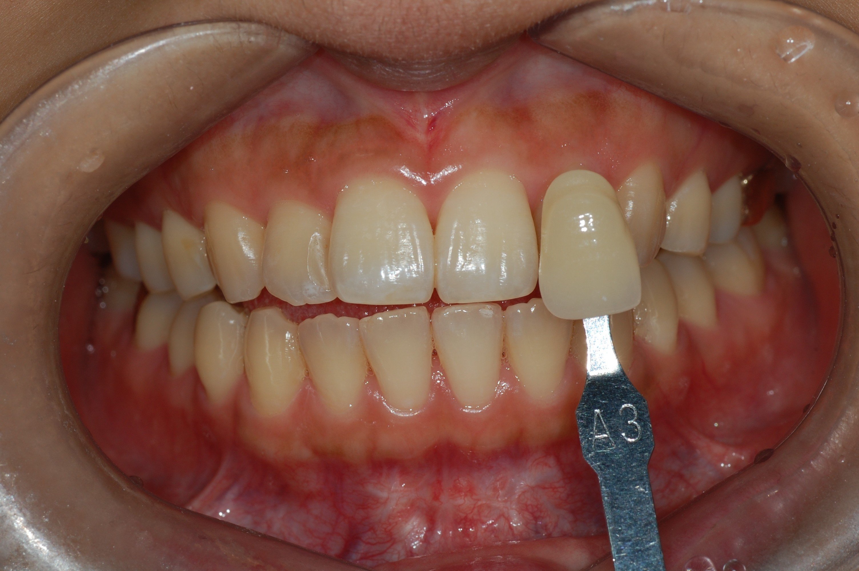
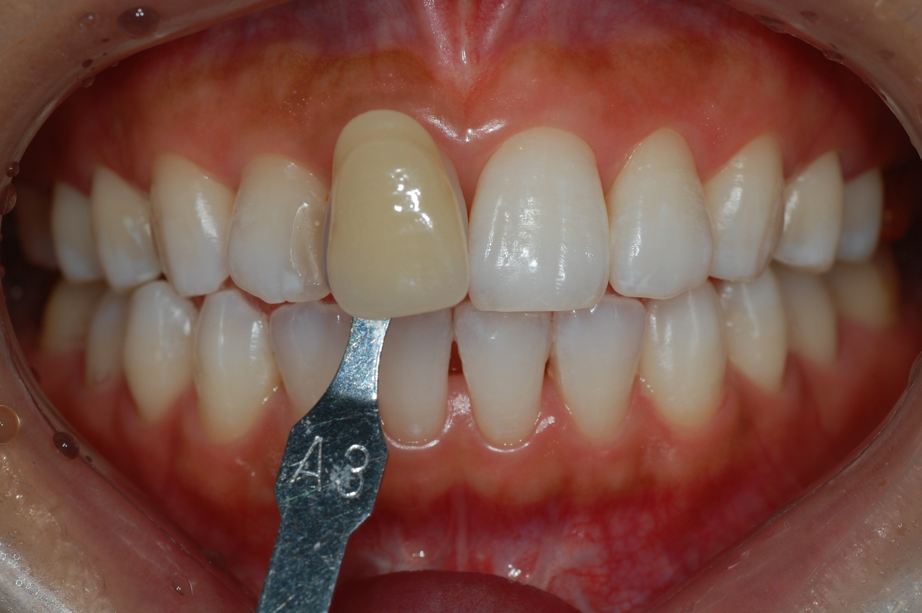
µÎ¹øÂ° ÄÉÀ̽º ÀÔ´Ï´Ù.
Ä¡·áÀü Ä¡·áÈÄ
 
Ä¡¾Æ»ö±òÀÌ ´©·±»óÅÂÀÔ´Ï´Ù. ¹°·Ð ÀÌÁ¤µµµµ ±¦Âú½À´Ï´Ù¸¸, ÇÏÀÌ¾È ¹Ì¹é½Ã½ºÅÛÀ» ÅëÇÑ ´õ ¹à°í ±ú²ýÇϰí ÇÏ¾á ¹Ì¼Ò¸¦ µå¸± ¼ö ÀÖ½À´Ï´Ù.
1ÁÖÀÏÀÇ ¹Ì¹é ½Ã½ºÅÛÀ» ÅëÇÑ Ä¡¾Æ»öÀÇ º¯È ÀÔ´Ï´Ù. Ä¡¾Æ »ö»ó ÃøÁ¤±âÀÇ A3 ´Ü°èÀÇ Ä¡¾Æ°¡ ¹Ì¹éÀÌÈÄ¿¡´Â A3°ú´Â ºñ±³°¡ µÇÁö ¾ÊÀ» Á¤µµ·Î ¹à¾ÆÁ³½À´Ï´Ù.
Ç×»ó ¹à°í Æí¾ÈÇÏ°í ¾Æ¸§´Ù¿î ¹Ì¼Ò¸¦ µå¸®°Ú½À´Ï´Ù.
¼¿ï ÇÏÀ̾ÈÄ¡°ú ³×Æ®¿öÅ©
|